足関節捻挫(そくかんせつねんざ)|スポーツ整形外科|整形外科

足関節捻挫とは

足首を主に内側にひねって受傷するのが足関節捻挫です。捻挫とは、関節を安定させるための靭帯や関節包(関節を取り囲む袋)が損傷することです。内側に捻って起こるため、足首の外側の靭帯が損傷することが多いです。小児では、腓骨の先端の靭帯の付着部に小さな骨折を伴うこともあります。足関節捻挫はスポーツで起こる最も多い外傷の一つです。

捻挫(靭帯損傷)捻挫(靭帯損傷)

足関節捻挫では、多くの場合は外果(外くるぶし)の前方や下に腫れや痛み、皮下血腫がみられることがあります。診断にはレントゲン像で骨折の有無の確認や超音波検査装置(エコー)での靭帯損傷の評価をして重症度を判定します。重症のⅢ度の足関節捻挫では軟骨損傷などの他の損傷を伴っていることもあり、必要に応じてMRIを撮影することもあります。

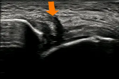
  • 前距腓靭帯のエコー像 正常前距腓靭帯 正常
  • 前距腓靭帯のエコー像 損傷前距腓靭帯 損傷

治療について

基本的に足関節捻挫は直後はR.I.C.E. (ライス)療法を行います。

R.I.C.E. (ライス)療法

  1. Rest (安静)
  2. Ice (冷却)
  3. Compression (圧迫)
  4. Elevation (挙上)

近年ではRest(安静)から患部を適切に保護[Protection(保護)]したうえで少しずつ負荷[Optimal Loading(適切な負荷)]をかけるPOLICE(Protection・Optimal Loading・Ice・Compression・Elevation)のほうがよいという意見もあります。

初期はシーネ固定(添え木による固定)を行い、患部の腫れや痛みが改善してきたら(3-7日)支柱付きの装具を装着しリハビリテーションを開始します。装具は3-5週間程度(重症度により)行い、リハビリテーションしながら徐々にスポーツ復帰していきます。

一方、重症や複数回捻挫を繰り返し、足関節の不安定性が強い場合には靭帯の補強や再建する場合もあります。