広報紙 vol.65しんゆりニュースレター
2023/8/1掲載

発達神経学センター(小児科)特集|広報紙
子どもの神経が発達する過程で起こる様々な症状を診療します
-
新百合ヶ丘総合病院
名誉院長 発達神経学センター長 -
【プロフィール】
慶應義塾大学医学部卒、医学博士、慶應義塾大学名誉教授。米国マサチューセッツ総合病院小児神経科、ハーバード大学医学部神経学講師を経て、慶應義塾大学医学部小児科主任教授、慶應義塾大学副病院長、日本小児科学会会長、日本小児神経学会理事長を歴任。令和5年4月より現職。著書に「小児科医のぼくが伝えたい 最高の子育て」(マガジンハウス)などがある。
-
治療すべき病気を見逃さないこと、心配いらない症状に不要な検査や治療を行わないことは、発達の盛りにある子どもたちの日常生活の質を低下させないためにとても重要なことです。
発達神経学センターでは、子どもの神経が発達する過程で起こる様々な症状、困難さを診療します。当センターが担当する具体的な症状、病名のうち代表的なものは見開き(次ページ)の通りです。これらの中には重い病気でなく様子を見れば十分なものも多く、そのような場合でも、安心して子育て、学校生活に臨んでいただけるようにサポートいたします。
子どもは神経の症状を上手に伝えることができません。適切な診断のもと、必要な検査や治療を受けるためには、専門家の存在が不可欠です。当センターでは、センター長の高橋孝雄、副センター長の下郷幸子、センター員の髙橋哲朗が、小児神経の専門家として外来診療や入院検査・治療を担当しております。お気軽にご相談いただければ幸いです。
-
【臨床心理士による外来】
臨床心理士は発達検査(WISC-Ⅴ、田中ビネーⅤ、新版K式発達検査など)、心理カウンセリング、保護者相談(ペアレントトレーニング)などを行います。
【発達神経学センター外来 診療日】
◆高橋孝雄(センター長)
月曜(第2月曜を除く) 14:30~16:30
◆下郷幸子(副センター長、小児科部長)
月曜 9:00~11:30、 水曜 9:00~11:30
◆髙橋哲朗(センター員)
水曜 14:00~16:30
※予約制です。
※諸事情により変更・休診になることがあります。
予約専用TEL(通話料無料) 0800-800-6456
発達神経学センターが担当する症状・病気・支援・サービス
発達の遅れ
-
お子さんの発達のペースが雑誌やネットに書かれているものより遅い場合、乳幼児健診の結果、病院受診を勧められる場合など、とてもご心配だと思います。中には、重い病気が隠れていたり、早期の治療や介入が必要な場合もありますが、多くは見守るだけで十分な、さほど心配のいらない“遅れ”です。当センターでは、小児神経の専門家が的確な評価・診断とともに、必要に応じて育児のアドバイスを行います。
けいれん・意識がなくなるなどの発作
-
乳幼児期には、心配のいらない、良性のけいれん発作、たとえば熱性けいれんなどが多く、その場合、特殊な検査は不要で、治療せずに経過観察が可能です。また、小さな子どもはけいれんと間違えやすい動作をする場合があります。身震い発作、入眠時ミオクローヌス、夜驚症、チックなどです。これらを正しく診断をするためには、専門医の診察が重要です。遠慮なく、ご相談ください。
一方、髄膜炎や脳炎など重大な病気の始まりがけいれんのこともあります。ひどい脱水や、血糖・カルシムなどの異常でおこるけいれんや意識障害は決して見逃してはならないものです。これらを診断するためには、血液検査に加えて、髄液検査、頭部CT・MRIなどの検査、そして専門医の診察が必要です。
けいれんや意識の障害(突然ぼーっとするなど)を繰り返す場合は、てんかんの可能性もあります。当センターではビデオと長時間脳波を組み合わせた検査装置とそれを解読する小児神経専門医が診断と治療を行います。「てんかんかも?」と不安に感じたら、遠慮なく当センター外来を受診してください。
神経発達症(発達障害)
神経発達症(最近まで“発達障害”と呼ばれていました)は、その子が生まれ持った特性です。コミュニケーション能力や社会性、行動面に強い個性があり、そのために日常生活に負担がかかっている状態です。代表的なものに、注意欠如・多動症(ADHD)、自閉スペクトラム症(ASD)、限局性学習症(読み書きや計算の困難さ)などがあります。これらの問題について、ネットなどでお調べになったことのある方も多いと思います。
-
診断はさておき、もし不安をもって子育てをしておられるのであれば、一度、当センターを受診してみませんか?治療や介入(心理社会的な治療や薬物療法)が必要かどうかは別として、一度は専門家である私どもにご相談ください。お子さんの自己肯定感を損なわないためにも、問題が大きく発展する前に受診されることをお勧めします。一部のお子さんでは、家庭環境や学校生活を少し工夫するだけで生活の質を改善することが可能ですし、子育ての負担も少しは軽くすることができるはずです。
その他の“神経の症状かもしれないもの”
その他、神経の症状かどうかの判断が難しいこともあると思います。そのような場合でも、遠慮なくご相談ください。例えば、頭痛や立ち眩みなど、突然起こる“神経の症状”についても、まずは当センターにご相談ください。小児科、小児神経科以外の診療が必要だと判断した場合、例えば、近視、虫歯などによる頭痛、稀には脳腫瘍が疑われた場合などには、眼科、耳鼻科、脳神経外科など、それぞれの専門の先生に責任をもってバトンタッチさせていただきます。
ドクターコラム「こどもの頭痛」はこちら
小児神経専門医が寄り添う育児相談と発達チェックなど

-
当センターでは、特に妊娠中、出産後に心配なことがあったお子さんなどのために、発達を見守る外来を行っています。運動の発達、言葉や社会性の発達などについて、あるいは通常の乳児健診では相談しにくい育児の不安について、ベテランの小児神経学会専門医がていねいにご相談にのります。専門家による継続的なチェックを受けることにより、育児の不安が少しでも和らげばと思います。
また、必要に応じて、負担の少ない最新鋭の脳イメージング検査やポリソムノグラフィ(下記「当センターで行うことができる特殊検査」参照)を用いれば、お子さんの発達を見守るうえで重要なデータ、安心材料が得られることもあります。また、たとえ軽微な問題が見つかったとしても、その後の育児、養育に役立てることができれば、育児の不安解消につなげることもできます。
幼稚園・保育園・学校や行政機関との連携

-
特に神経の病気の場合、幼稚園・保育園・学校に通うことに不安を抱かれる方も多いと思います。受け入れる側も、大切なお子さんを預かることに不安を感じていることがあります。集団生活での注意点をご家族にお伝えするだけでなく、診断書や意見書という形で教育機関に指示をお伝えすることも私どもの大事な仕事です。また、診察に教職員の方に同席していただくことも可能です。複数の機関が関わる場合には連携会議を開くこともあります。
当センターでできる特殊検査
画像検査

-
CT、MRIはもちろん、SPECT、PET-CT 、SyMRI(サイ・エム・アール・アイ)など特殊で高度な画像診断機器が揃っています。いずれも2020年の時点での最新機種が採用されています。大学病院を含めて、他の医療機関からも検査の依頼をお引き受けしています。
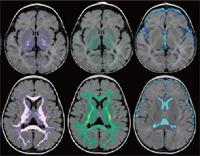
負担の少ない脳イメージングSyMRI
検査時間が数分と短く、また、従来のCTやMRIでは見えなかった脳の発達の様子(ミエリンの成熟など)を鮮明なカラー画像で見ることもできます。
ビデオ脳波など

-
通常の脳波検査のほかに、てんかん発作の最中の脳波を記録するための長時間ビデオ脳波モニタリングにより、てんかんかどうか判断に迷う場合などに正確な診断が可能となります。また、呼吸と睡眠の様子を観察するための特殊な検査(ポリソムノグラフィ)も行うことができます。
発達神経学センター(小児科)医師紹介
①専門分野/得意な領域 ②卒業大学 ③専門医・指導医・資格・公職等- 高橋 孝雄(名誉院長/発達神経学センター センター長)
①小児神経分野(発達の遅れ、発達障害・神経発達症、てんかんなど) ②慶應義塾大学医学部 ③医学博士/日本小児科学会(専門医・指導医、監事、前会長)/日本小児神経学会(専門医・指導医、監事、前理事長)/日本てんかん学会(評議員)/乳幼児けいれん研究会(幹事)/米国小児科学会(名誉会員)/国際小児神経学会(前理事)/成育医療研究センター顧問 - 下郷 幸子(発達神経学センター
副センター長/小児科 部長)
①小児科一般、小児神経 ②福井大学医学部 ③日本小児科学会小児科専門医/日本小児神経学会専門医 - 髙橋 哲朗(発達神経学センター
センター員/小児科 医員)
①小児科一般、小児神経 ②慶應義塾大学医学部 ③日本小児科学会小児科専門医