広報紙 vol.47しんゆりニュースレター
2021年11月1日掲載

当院では、専門性の高い一貫したがん医療を受けることができます
-
新百合ヶ丘総合病院
呼吸器内科部長 -
【プロフィール】
昭和大学医学部卒業。昭和大学医学部第一内科。昭和大学医学部大学院医学研究科。昭和大学医学部内科学講座呼吸器アレルギー部門。米国ピッツバーグ大学,Drug Discovery Institute, Postdoctoral fellow。東京都保健医療公社荏原病院呼吸器内科。2016年より現職。
日本内科学会認定内科医・指導医/日本内科学会総合内科専門医/日本呼吸器学会専門医/日本呼吸器内視鏡学会気管支鏡専門医・指導医/日本結核・非結核性抗酸菌症学会結核・抗酸菌症認定医・指導医/日本がん治療認定医機構がん治療認定医/肺がんCT検診認定医/身体障害者指定医(呼吸器機能障害)/難病医療費助成における難病指定医
-
当院の呼吸器センターは、呼吸器内科と呼吸器外科の専門医による幅広い呼吸器疾患の診療を行っております。主に肺がん、悪性胸膜中皮腫などの胸部腫瘍、COPDなどの喫煙が関連する慢性閉塞性肺疾患、気管支喘息などのアレルギー疾患、間質性肺炎、肺結核、非結核性抗酸菌症、肺炎などの呼吸器感染症、気胸、睡眠時無呼吸症候群などの疾患、さらにCOVID-19肺炎や肺炎後遺症の診療を行っております。
呼吸器内科は常勤医7名(日本呼吸器学会専門医7名、日本呼吸器学会指導医3名)、呼吸器外科は常勤医2名(日本呼吸器学会専門医1名、日本呼吸器外科学会専門医2名、日本呼吸器外科学会指導医1名)。両科を合わせると日本呼吸器内視鏡学会気管支鏡専門医5名、指導医3名がおり、常勤スタッフ全員が呼吸器疾患のプロフェッショナルです。それぞれ出身大学や医局が異なりますが、高いスキルを持ち専門性の高い診療を行っています。
肺疾患の診断治療のため年間250~300件の気管支内視鏡検査を行っており、日本呼吸器内視鏡学会の認定施設です。気管支内視鏡を使った治療は、難治性気胸に対する気管支充填術、難治性重症気管支喘息に対する気管支サーモプラスティ治療などを行っております。
私の専門は、肺がんを中心とする悪性腫瘍です。大学卒業後、呼吸器内科に入局し、はじめて担当した30代の患者さんが進行肺がんでした。
-
当時、肺がん治療は抗がん剤の種類も少なく、満足な治療ができませんでした。肺がんを治したいとの気持ちから、病理学の大学院に進み、がんの病理診断や研究を行いました。
さらにがん細胞の病態解明に興味を持ち、2008年から2年間米国ピッツバーグ大学に研究留学し、がんの浸潤転移に関わるメカニズムの解明について基礎研究を行いました。日本に帰国後、大学病院で多くのがん治療や臨床試験に携わりました。2016年7月より総合的にがん治療を行うために新百合ヶ丘総合病院に着任しました。
当院の特徴は、がんの予防、診断、治療、緩和ケアの一貫した医療を受けられることです。
当院では予防医学センター(健診)やPET-CT検査などで、病気の早期発見を行うことができます。各診療科にがん治療のスペシャリストが揃っており、外科手術を担う呼吸器外科医や、サイバーナイフ、リニアックなどの放射線治療専門医と連携し、組織横断的に治療を行っています。
外来化学療法室や化学療法専門病棟、緩和ケアチームおよび緩和ケア病棟があり、より専門性の高い医療を提供できます。
当院は川崎市麻生区にあり、東京都や横浜市に囲まれ、小田急線沿線でアクセスがしやすい環境です。近隣の病院やクリニックの先生方は、呼吸器疾患でお困りの患者さんがおられましたら、お気軽にご相談いただけると幸いです。何卒よろしくお願いいたします。
肺がんの低侵襲手術
呼吸器センター長/呼吸器外科統括部長 小田 誠
小田医師(左)と濱中医師(右)-
呼吸器外科では肺がん(原発性、転移性)をはじめ、呼吸器外科疾患全般(気胸、膿胸、縦隔腫瘍、手掌多汗症など)を対象に診断から治療まで行っています。特に肺がんは患者数が年々増加傾向にあり、治療法の選択肢も広がっています。
私は「胸腔鏡手術」「ロボット手術」のパイオニアとして全国の若き呼吸器外科医の指導にもあたってきました。しかし、これら低侵襲手術のみにこだわることなく、病態に応じては開胸手術も選択するなど、確実で安全な手術が何よりも重要と考えております。胸腔鏡手術やロボット手術から拡大手術まで、患者さんの病態、全身状態に応じて適切な治療法を患者さんと相談しながらすすめていきます。現在、当科での肺がんに対する肺切除術のアプローチ方法の第一選択は以下の通りです。
当院でのダヴィンチxiを用いた
ロボット手術風景-
・肺葉切除術→ロボット手術
・肺区域切除術→ロボット手術
・肺部分切除術→単孔式手術または肋骨弓下経横隔膜手術これらのアプローチ法による手術にて、2019年度の肺がん患者さん(原発性、転移性)103例では、90%の患者さんが手術後2日以内に自宅退院されました(手術翌日退院40人、手術翌々日退院53人)。患者さんの苦痛軽減のため、原則として尿バルーン(尿の管)、硬膜外麻酔(背中の管)、動脈ラインは留置しません。
当院では、肺がん(肺葉切除、区域切除)、縦隔腫瘍、重症筋無力症に対してロボット手術が保険適用となっており、これまで200例以上行ってきました。ロボット肺がん肺切除術(2021年9月までの149例)では、術後在院日数は中央値1泊、入院~退院までの全在院日数は中央値2泊でした。最近の50例のうち46例(92%)の患者さんが手術翌日に自宅退院されています。
新型コロナウイルス感染症の症状と治療
新型コロナウイルス感染症(COVID-19)は2019年末にはじめて中国から報告されて以来、今日に至るまで、世界的な流行を引き起こし、誰もが知っている病気になりました。コロナウイルスはもともとが急性上気道炎(いわゆる「かぜ」)の原因微生物であり、COVID-19もかぜの症状で発症します。
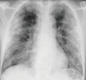
COVID-19が「かぜ」と異なる点は、肺炎を生じ、場合によっては生命を損なうことです。COVID-19による肺炎は、間質性肺炎の形態をとります。
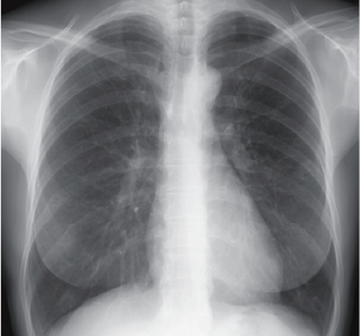
肺炎は、肺の炎症(病原微生物などに対し白血球や体液が集まり、病原を排除しようとする体の防御反応)です。肺は、人体で唯一の空気から酸素を体内に取り入れる働きをしています。そこでは、空気が出入りする肺胞、その周囲にあり酸素を運搬する赤血球が通る毛細血管、および肺胞と毛細血管の間にある「間質」が働いています。
間質は、酸素が必ず通過する場所であり、そこに炎症が生じると、酸素を体内に取り込みにくくなります。間質に障害が起こり酸素が間質を通過しにくくなると、血液(赤血球)が毛細血管を流れる速度が早くなる時(体動時)に、毛細血管を流れる赤血球に酸素を運ぶ時間が失われます。その結果、体内の酸素が不足してしまいます。
これが安静時には酸素が十分にあっても体動時に酸素が不足する症状を起こす機序です。酸素を吸いながら、安静を保つ治療が必要です。
正常な肺
間質性肺炎
両側に肺が白く(スリガラス様)になる
COVID-19の治療は、ウイルスを排除する(増やさない)ための抗ウイルス薬の他、炎症を制御する薬(ステロイドなど)とともに、体内の酸素を増やす酸素療法(人工呼吸器やECMOなど)を組み合わせて十分に行います。ウイルスを排除しても炎症はしばらく(場合によっては数カ月間)続き、炎症を抑える薬や酸素療法を長期間行うことがあります。
呼吸器内科・外科医師紹介
- 専門分野/得意な領域
- 卒業大学
- 専門医・指導医・資格・公職等
呼吸器内科
-
永井 厚志(呼吸器内科/呼吸器疾患研究所所長)
①呼吸器疾患
②東北大学医学部卒業
③日本内科学会内科認定医名誉会員/日本呼吸器学会専門医名誉会員(理事長、学会長歴任)/日本肺癌学会特別会員/日本呼吸器内視鏡学会名誉会員(学会長歴任)/日本呼吸ケア・リハビリテーション学会功労会員/COPDガイドライン作成委員長(学会長歴任)/FCCP(Fellow of the American College of Chest Physicians) -
中嶌 賢尚(呼吸器内科部長)
①呼吸器疾患・肺がん
②昭和大学医学部卒業
③日本内科学会認定内科医・指導医/日本内科学会総合内科専門医/日本呼吸器学会専門医/日本呼吸器内視鏡学会気管支鏡専門医・指導医/日本結核・非結核性抗酸菌症学会結核・抗酸菌症認定医・指導医/日本がん治療認定医機構がん治療認定医/身体障害者指定医(呼吸器機能障害)/難病医療費助成における難病指定医 -
内海 健太(呼吸器内科科長)
①呼吸器内科・気管支喘息
②東京医科大学医学部卒業
③日本内科学会総合内科専門医/日本呼吸器学会専門医・指導医/日本呼吸器内視鏡学会気管支鏡専門医・指導医/日本内科学会認定内科医/日本プライマリ・ケア連合学会プライマリ・ケア認定医 -
青山 梓(呼吸器内科医長)
①呼吸器内科 ②東京女子医科大学医学部卒業③日本呼吸器学会専門医/日本アレルギー学会専門医/日本内科学会総合内科専門医/日本結核・非結核性抗酸菌症学会結核・抗酸菌症認定医 -
赤司 俊介(呼吸器内科医長)
①呼吸器感染症、呼吸不全、呼吸器全般
②横浜市立大学医学部卒業
③日本内科学会総合内科専門医/日本呼吸器学会呼吸器指導医/日本呼吸器内視鏡学会気管支鏡専門医/日本内科学会認定内科医 -
寺田 友子(呼吸器内科医長)
①呼吸器内科
③日本呼吸器学会呼吸器専門医/日本内科学会総合内科専門医/日本内科学会認定内科医 -
島田 絢子(呼吸器内科医長)
①呼吸器内科
②千葉大学医学部医学科卒業
③日本呼吸器学会呼吸器専門医/日本呼吸器内視鏡学会気管支鏡専門医/日本内科学会認定内科医
呼吸器外科
がん相談支援センター

-
がん診療連携拠点病院には、がん相談支援センターという相談窓口があります。
がん相談支援センターでは、がんに関する相談を受け付けております。患者さんやご家族、地域の方々に関わる相談に、専門の看護師、社会福祉士が対応いたします。
どなたでも、無料でご利用いただけます。
がん相談支援センターについてはこちら
相談窓口
| 場所 |
1階 総合案内エリア サポートセンター内 |
|---|---|
| 利用時間 |
利用時間︓8:30~17:30 |
| 利用方法 |
※予約優先となります。事前にご連絡を頂けると幸いです。 |
相談内容
- がんの病態・治療法全般
- がんの予防やがん検診等
- 当院で対応可能ながん種や治療法等、連携医療機関の情報
- セカンドオピニオンの提示が可能な医師・医療機関の紹介
- がん患者の療養に関する事
- 就労に関する事
- アスベストによる肺がんおよび中皮腫に関する相談
- HTLV-1関連疾患であるATLに関する相談
- 医療関係者・患者会等によるサポートグループ活動・患者サロンに関わる情報
- がんゲノム医療に関すること
- 希少がんに関すること
- AYA世代にあるがん患者に対する治療療養・就学・就労支援に関すること
- がん治療に伴う生殖機能に関すること
「がんサロン」のご案内
同じ体験をもつ、がん患者さんやご家族と心配なことや心の悩みなどを話し合ってみませんか?
当院では、患者さん同士やご家族が交流を深め、がんの情報交換や気になること、困ったことを気兼ねなく話せる場として、がんサロンを設けています。コロナ禍により、オンラインで開催いたします。話を聴くだけでも、話すだけでも結構です。お気軽にご参加ください。 ?
| 開催日時 |
2・5・8・11月の土曜日 14:00~15:00 ※開催前に当院ホームページやポスターで告知します |
|---|---|
| 対象者 |
患者さんとそのご家族 |
| 定員 |
先着5組 |
| 申込方法 |
お電話による申し込み |
| お問合せ |
新百合ヶ丘総合病院 がん相談支援センター ※感染対策上、オンライン(Web)のみでの開催となります。 |