広報紙 vol.91しんゆりニュースレター
2026/1/5掲載

放射線治療科(高精度放射線治療センター)特集|広報紙
技術革新と患者さんへの温かなケアを両立
-
新百合ヶ丘総合病院
放射線治療科医長 リニアック担当 -
【プロフィール】
1998年信州大学卒業。同年より信州大学医学部附属病院、2004年愛媛大学医学部附属病院、12年より四国がんセンター。17年10月より現職。
日本専門医機構認定放射線科専門医/日本医学放射線学会指導医/日本医学放射線学会・日本放射線腫瘍学会放射線治療専門医
-
新百合ヶ丘総合病院における放射線治療の特徴と取り組みについて紹介します。日本人の高齢化に伴い、がん患者数が年々増加するなか、放射線治療は手術や化学療法と並び、がん治療の三本柱の一つとして重要な役割を果たしています。当院では、患者さん一人ひとりの病状や生活に寄り添い、先端医療機器と専門スタッフによる質の高い医療サービスを提供しています。
当院放射線治療部門の中心的な役割を担うのが、ロボット制御のアームを用いたサイバーナイフおよびバリアン社製リニアック(直線加速器)です。私は主にリニアックを用いた放射線治療を担当しています。リニアックは、X線や電子線を用いて体内の腫瘍に対し高精度に放射線を照射することができ、頭部、頭頸部・胸部・腹部・骨盤部など、多岐にわたる部位のがん治療に対応しています。
従来の通常分割照射に加え、IMRT(強度変調放射線治療)やVMAT(強度変調回転照射)、定位放射線治療、画像誘導放射線治療といった高精度技術も積極的に導入しており、腫瘍の形状や位置に合わせて放射線の強度や照射角度を細かく調整することで、正常組織への影響を最小限に抑えながら高い治療効果を実現しています。
-
また現在、多発脳転移などを対象としてHyperArc(バリアン社)と呼ばれるシステムを導入し、一度に複数の転移性脳腫瘍に対する定位放射線治療を行えるように準備を行っています。
治療計画の立案にあたっては、放射線治療専門医、医学物理士、放射線技師、看護師など多職種が密に連携し、患者さんごとに最適なプランを作成しています。これにより、腫瘍の種類や進行度、全身状態に合わせた柔軟な対応が可能となり、治療成績の向上と副作用の軽減に繋がっています。また化学療法や手術との併用治療(集学的治療)も積極的に取り入れ、治療の幅を広げています。特に化学放射線療法(CRT)や術前・術後の放射線治療など、個々の症例に応じた多様な治療アプローチを行うことで、より良い治療成績と生活の質(QOL)の向上を目指しています。
今後も技術革新と患者さんへの温かなケアを両立させ、地域の皆様に信頼されるがん医療の提供に努めてまいります。
【目次】
リニアックとは
-
バリアン社製リニアック TrueBeam -
リニアック(直線加速器)とは、高電圧を利用して電子を直線的に加速し、X線や電子線などの高エネルギー放射線を発生させる医療用装置です。これにより、体内の腫瘍組織に対して正確に放射線を照射することが可能となり、がん細胞を効果的に破壊します。当院では画像誘導放射線治療や呼吸同期照射に対応した、最新のバリアン社製リニアック TrueBeamを使用しています。
強度変調回転放射線治療(VMAT)とは
強度変調回転放射線治療(VMAT:Volumetric Modulated Arc Therapy)とは、リニアックが回転しながら連続的に放射線を照射することで、腫瘍の形状や位置に合わせて放射線の強度や照射範囲を細かく調整する治療法です。従来のIMRT(強度変調放射線治療)と比べて、照射時間が短縮されるとともに、より高精度な線量分布が得られるため、腫瘍への集中治療と正常組織への影響軽減が同時に実現できます。これにより、患者さんの負担が少なく、効率的な治療が可能となっています。
定位放射線治療とは
-
定位放射線治療 -
定位放射線治療とは、体内の特定の小さな病変や腫瘍に対して、高精度かつ高線量の放射線を集中的に照射する治療法です。従来の放射線治療よりも照射範囲を限定し、周囲の正常組織への影響を最小限に抑えながら、標的となる腫瘍を効果的に治療することができます。
最新の画像誘導技術により、呼吸や体動による標的のズレを補正し、より安全かつ確実な治療が実現されています。
ハイパーアーク(HyperArc)とは
強度変調回転放射線治療の技術を用い、照射精度および固定精度を高めることにより、多数の頭蓋内の病変に対して、同時に定位放射線治療を行うことができるシステムです。これにより、短時間で複数の病変の治療を行うことができます。
(Varian Medical Systems, Inc.の厚意により掲載又は転載が許諾されています。無断複写・転載を禁じます。)
VMATを使った放射線治療
従来の放射線治療では、重要な臓器に対する線量制限のため十分な線量の投与ができなかった腫瘍に対する放射線治療が、現在は可能となってきています。
両側に広がる病変に対して、従来は十分な放射線治療ができませんでしたが、VMATを用いることで治療を行うことができるようになってきました。
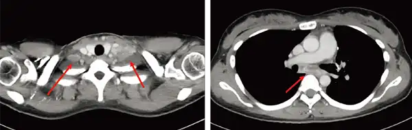
治療前造影CT
肺がんの症例です。両側鎖骨上にリンパ節があり、縦隔にもリンパ節転移があります。 従来の放射線治療では、主に脊髄の耐用線量の限界により根治的な放射線治療の投与が困難でしたが、VMATを使って、根治的な治療を行うことができました。
同症例の4年経過後のCTです。
腫瘍は消失しています。このように、従来は放射線治療が困難であった症例も、放射線治療で治すことができるようになってきました。
全ての症例に根治的治療が行えるようになった訳ではありませんが、技術や装置の進歩により根治的放射線治療を行うことができる幅が広がってきました。
また、病気を治すための治療に留まらず、がん患者さんの生活の質の改善、痛みの軽減や、圧迫症状の改善を目的とした緩和的な放射線治療も行っています。
放射線治療科(高精度放射線治療センター) 医師紹介
①専門分野/得意な領域 ②卒業大学 ③専門医・指導医・資格等- 森 美雅
(放射線治療科、高精度放射線治療センター長)

- ①高精度放射線治療 ②名古屋大学医学部 ③日本医学放射線学会放射線科専門医・指導医/日本医学放射線学会・日本放射線腫瘍学会放射線治療専門医/日本専門医機構認定脳神経外科専門医/日本脳神経外科学会脳神経外科指導医/日本救急医学会救急科専門医/日本がん治療認定医機構がん治療認定医/一般社団法人日本ガンマナイフ学会認定医/日本医師会認定産業医/医学博士
- 西川 敦
(放射線治療科医長、リニアック担当)

- ①悪性腫瘍の放射線治療 ②信州大学医学部 ③日本専門医機構認定放射線科専門医/日本医学放射線学会指導医/日本医学放射線学会・日本放射線腫瘍学会放射線治療専門医